Implanty to sztuczne elementy, które są wszczepiane do ciała pacjenta w celu zastąpienia brakujących struktur anatomicznych lub poprawy funkcji organizmu. W medycynie implanty najczęściej stosowane są w stomatologii, ortopedii oraz chirurgii plastycznej. W przypadku implantów dentystycznych, ich głównym celem jest zastąpienie utraconych zębów, co pozwala na przywrócenie funkcji żucia oraz estetyki uśmiechu. Implanty ortopedyczne, takie jak stawy biodrowe czy kolanowe, mają na celu poprawę mobilności pacjentów z uszkodzeniami stawów. Proces wszczepiania implantów zazwyczaj wymaga przeprowadzenia skomplikowanej procedury chirurgicznej, a ich sukces zależy od wielu czynników, takich jak stan zdrowia pacjenta czy jakość materiałów użytych do produkcji implantów.
Jakie są rodzaje implantów i ich zastosowanie
Wyróżniamy wiele rodzajów implantów, które różnią się zarówno materiałem wykonania, jak i przeznaczeniem. Najpopularniejsze są implanty dentystyczne, które służą do odbudowy brakujących zębów. Oprócz tego istnieją także implanty piersiowe stosowane w chirurgii plastycznej do powiększania biustu oraz rekonstrukcji po mastektomii. W ortopedii dominują implanty stawowe, które zastępują uszkodzone stawy i poprawiają jakość życia pacjentów cierpiących na choroby zwyrodnieniowe. Innym rodzajem są implanty słuchowe, które pomagają osobom z ubytkiem słuchu. W ostatnich latach rozwija się także dziedzina implantologii biomedycznej, która zajmuje się tworzeniem nowoczesnych rozwiązań technologicznych w zakresie wszczepiania urządzeń elektronicznych do ciała pacjenta.
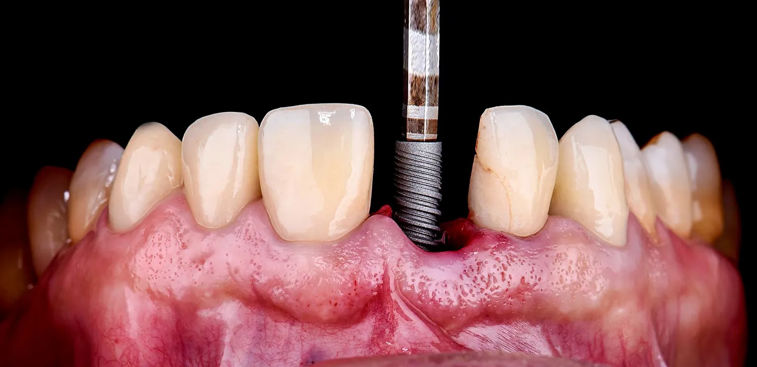
Jak przebiega proces wszczepiania implantów krok po kroku

Proces wszczepiania implantów jest złożony i wymaga starannego planowania oraz przygotowania ze strony zespołu medycznego. Na początku lekarz przeprowadza szczegółową diagnostykę, która może obejmować zdjęcia rentgenowskie lub tomografię komputerową w celu oceny stanu zdrowia pacjenta oraz warunków anatomicznych w miejscu wszczepienia implantu. Następnie pacjent zostaje poinformowany o wszystkich aspektach zabiegu oraz możliwych ryzykach. Samo wszczepienie implantu odbywa się zazwyczaj w znieczuleniu miejscowym lub ogólnym, w zależności od rodzaju zabiegu i preferencji pacjenta. Po wykonaniu nacięcia w tkankach miękkich lekarz umieszcza implant w odpowiednim miejscu i zamyka ranę. Po zabiegu pacjent powinien przestrzegać zaleceń lekarza dotyczących pielęgnacji rany oraz unikania nadmiernego obciążenia okolicy wszczepienia przez określony czas.
Czy istnieją ryzyka związane z wszczepieniem implantów
Jak każdy zabieg chirurgiczny, wszczepienie implantów wiąże się z pewnymi ryzykami i potencjalnymi powikłaniami. Najczęściej występującymi problemami są infekcje w miejscu operacyjnym oraz reakcje alergiczne na materiały użyte do produkcji implantu. Inne możliwe komplikacje to odrzucenie implantu przez organizm pacjenta lub jego niewłaściwe osadzenie, co może prowadzić do bólu lub dyskomfortu. Ważne jest również to, że nie każdy pacjent jest kandydatem do zabiegu wszczepienia implantu; osoby cierpiące na niektóre schorzenia przewlekłe lub mające problemy z układem odpornościowym mogą być narażone na większe ryzyko powikłań. Dlatego przed podjęciem decyzji o zabiegu warto przeprowadzić dokładną konsultację ze specjalistą oraz omówić wszystkie obawy i pytania dotyczące bezpieczeństwa procedury.
Jak dbać o implanty po ich wszczepieniu
Prawidłowa pielęgnacja implantów po ich wszczepieniu jest kluczowa dla zapewnienia ich długotrwałego funkcjonowania oraz minimalizacji ryzyka powikłań. W przypadku implantów dentystycznych ważne jest regularne szczotkowanie zębów oraz stosowanie nici dentystycznej w celu utrzymania higieny jamy ustnej. Pacjenci powinni unikać twardych pokarmów przez kilka pierwszych tygodni po zabiegu, aby nie obciążać nowego implantu. W przypadku innych rodzajów implantów, takich jak ortopedyczne czy piersiowe, zaleca się unikanie intensywnego wysiłku fizycznego przez określony czas oraz regularne kontrole u lekarza prowadzącego. Ponadto istotne jest monitorowanie miejsca operacyjnego pod kątem ewentualnych objawów infekcji czy stanu zapalnego. Pacjenci powinni być świadomi objawów wymagających natychmiastowej interwencji medycznej i niezwłocznie zgłaszać je swojemu lekarzowi.
Jakie są koszty związane z wszczepieniem implantów
Koszty związane z wszczepieniem implantów mogą się znacznie różnić w zależności od wielu czynników, takich jak rodzaj implantu, lokalizacja kliniki oraz doświadczenie lekarza. W przypadku implantów dentystycznych ceny mogą wahać się od kilku do kilkunastu tysięcy złotych za jeden implant, co często obejmuje również koszty konsultacji, diagnostyki oraz późniejszych wizyt kontrolnych. Warto zaznaczyć, że niektóre ubezpieczenia zdrowotne mogą pokrywać część kosztów związanych z zabiegami implantologicznymi, jednak zasady te różnią się w zależności od konkretnego planu ubezpieczeniowego. Koszty implantów ortopedycznych również mogą być znaczne, zwłaszcza jeśli wymagają one skomplikowanych procedur chirurgicznych. Dodatkowo pacjenci powinni uwzględnić wydatki na rehabilitację pooperacyjną, która jest kluczowa dla pełnego powrotu do zdrowia.
Jakie są najnowsze technologie w dziedzinie implantologii
W ostatnich latach dziedzina implantologii dynamicznie się rozwija dzięki postępom technologicznym oraz innowacjom w materiałach i metodach chirurgicznych. Jednym z najważniejszych osiągnięć jest rozwój implantów cyfrowych, które pozwalają na precyzyjne planowanie zabiegów przy użyciu technologii 3D oraz skanowania komputerowego. Dzięki tym rozwiązaniom lekarze mogą dokładnie zaplanować miejsce wszczepienia implantu oraz przewidzieć ewentualne komplikacje. Kolejnym przełomem są materiały biokompatybilne, które minimalizują ryzyko odrzucenia implantu przez organizm pacjenta. Nowoczesne implanty często pokrywane są specjalnymi powłokami, które sprzyjają integracji z kością i przyspieszają proces gojenia. Warto również wspomnieć o rozwoju implantów smart, które zawierają czujniki monitorujące stan zdrowia pacjenta i przesyłające dane do lekarza. Te innowacyjne rozwiązania mają na celu poprawę jakości życia pacjentów oraz zwiększenie skuteczności leczenia.
Jakie są opinie pacjentów na temat implantów
Opinie pacjentów na temat wszczepiania implantów są zazwyczaj pozytywne, zwłaszcza w kontekście poprawy jakości życia oraz estetyki. Osoby, które zdecydowały się na implanty dentystyczne często podkreślają znaczną poprawę komfortu podczas jedzenia oraz mowy, a także większą pewność siebie wynikającą z estetycznego wyglądu uśmiechu. Pacjenci po wszczepieniu implantów ortopedycznych relacjonują znaczny wzrost mobilności oraz redukcję bólu, co pozwala im wrócić do aktywności fizycznej i codziennych obowiązków. Niemniej jednak niektórzy pacjenci wskazują na obawy związane z kosztami zabiegu oraz długim czasem oczekiwania na pełne efekty leczenia. Ważnym aspektem jest również potrzeba regularnych wizyt kontrolnych oraz przestrzegania zaleceń lekarza po operacji. Warto zaznaczyć, że doświadczenia pacjentów mogą się różnić w zależności od indywidualnych predyspozycji zdrowotnych oraz jakości wykonania zabiegu.
Jakie są alternatywy dla tradycyjnych implantów
Choć implanty są popularnym rozwiązaniem w przypadku brakujących zębów czy uszkodzonych stawów, istnieją także alternatywy, które mogą być odpowiednie dla niektórych pacjentów. W stomatologii jedną z opcji są mosty protetyczne, które pozwalają na odbudowę brakujących zębów bez konieczności wszczepiania implantów. Mosty te opierają się na zdrowych zębach sąsiadujących i mogą być mniej inwazyjne niż zabieg wszczepienia implantu. Inną alternatywą są protezy ruchome lub stałe, które również mogą zastąpić brakujące zęby, chociaż ich funkcjonalność i estetyka mogą być gorsze niż w przypadku implantów. W ortopedii istnieją także metody leczenia zachowawczego, takie jak rehabilitacja czy terapia farmakologiczna, które mogą pomóc w łagodzeniu bólu stawowego bez konieczności operacji.
Jak przygotować się do zabiegu wszczepienia implantu
Przygotowanie do zabiegu wszczepienia implantu jest kluczowe dla jego sukcesu i minimalizacji ryzyka powikłań. Na początku warto przeprowadzić szczegółową konsultację ze specjalistą, który oceni stan zdrowia pacjenta oraz przeprowadzi niezbędne badania diagnostyczne. Pacjenci powinni poinformować lekarza o wszystkich przyjmowanych lekach oraz schorzeniach przewlekłych, które mogą wpłynąć na przebieg zabiegu. Zazwyczaj zaleca się unikanie palenia tytoniu i spożywania alkoholu na kilka dni przed operacją, ponieważ te czynniki mogą negatywnie wpływać na proces gojenia. Dobrze jest również zadbać o odpowiednią higienę jamy ustnej przed zabiegiem oraz stosować się do zaleceń dotyczących diety – niektóre pokarmy mogą być niewskazane tuż przed operacją lub po niej.
Jak długo trwa proces gojenia po wszczepieniu implantu
Czas gojenia po wszczepieniu implantu może się różnić w zależności od wielu czynników, takich jak rodzaj implantu, ogólny stan zdrowia pacjenta oraz jego wiek. Zazwyczaj proces integracji implantu z kością trwa od kilku tygodni do kilku miesięcy; w przypadku implantów dentystycznych okres ten wynosi zazwyczaj od trzech do sześciu miesięcy. W tym czasie ważne jest przestrzeganie wszystkich zaleceń lekarza dotyczących pielęgnacji rany oraz unikania nadmiernego obciążenia okolicy wszczepienia implantu. Po zakończeniu procesu gojenia możliwe jest przystąpienie do dalszych etapów leczenia protetycznego lub rehabilitacyjnego w przypadku implantów ortopedycznych. Należy pamiętać, że każdy organizm reaguje inaczej i czas gojenia może być dłuższy u osób z chorobami przewlekłymi lub osłabionym układem odpornościowym.





